Traitement de la rage de dent

Une douleur à la dent insupportable, qui vous empêche de penser, de dormir, parfois même de parler… la rage de dent fait partie des raisons les plus fréquentes de prise de rendez-vous chez le dentiste. Chez Smile Clinic Paris, on le sait : dans ces moments-là, vous avez besoin d’une prise en charge rapide, d’un traitement fiable, et aussi d’un accompagnement de confiance. Notre équipe pluridisciplinaire met tout en œuvre pour calmer la douleur, éliminer l’infection et sauver votre dent. Grâce à un protocole précis, chaque étape du traitement est pensée pour vous apporter efficacité, sécurité… et un vrai soulagement. 

Qu’est-ce qu’une rage de dent ?

La rage de dents, également appelée pulpite aiguë, est une douleur dentaire intense qui survient lorsque la pulpe dentaire — le tissu mou à l’intérieur de la dent contenant nerfs et vaisseaux sanguins — s’enflamme ou s’infecte. Cette inflammation provoque une douleur lancinante, pulsatile et souvent insupportable qui peut fortement perturber la vie quotidienne, le sommeil et la concentration.

Cette situation est une urgence dentaire, car la pulpite peut rapidement évoluer vers une infection plus grave, affectant l’os et les tissus environnants. Si elle n’est pas traitée rapidement, elle peut conduire à un abcès dentaire, une perte osseuse ou la perte définitive de la dent. 

Pourquoi la rage de dents est-elle si douloureuse ?

Il faut savoir que la dent est un organe confiné. La pulpe est enfermée dans une cavité osseuse rigide, la chambre pulpaire. Lorsque la pulpe s’enflamme, l’espace réduit ne permet pas au tissu de se dilater. Cette pression élevée irrite les terminaisons nerveuses, d’où une douleur intense et souvent intermittente, souvent aggravée par la chaleur, le froid, la mastication ou la position allongée.

Les causes principales de la rage de dents sont les suivantes :

  • Caries profondes qui atteignent la pulpe ;
  • Traumatismes dentaires (chocs, fractures) ;
  • Infections non traitées ou mal soignées ;
  • Bruxisme provoquant des microfissures et irritation pulpaire ;
  • Traitements dentaires précédents parfois insuffisants (couronne, obturation mal ajustée). 
rage de dents douloureuse
Quand consulter

Quand consulter ? Les signes d’alerte à ne jamais ignorer

La rage de dents ne se résout jamais seule. Ignorer la douleur peut entraîner des complications sévères, des infections étendues, voire la perte définitive de la dent. Un traitement rapide permet non seulement de soulager la douleur, mais aussi de préserver la dent et la santé générale. Consulter votre dentiste dès l’apparition des premiers symptômes permet non seulement de soulager la douleur, mais aussi de préserver votre santé bucco-dentaire. Une prise en charge urgente est nécessaire si la douleur :

  • Est intense, pulsatile et lancinante ;
  • Persiste plusieurs minutes voire heures après un stimulus thermique (chaud ou froid) ;
  • Irradie vers la mâchoire, l’oreille ou la tempe ;
  • S’accompagne d’un gonflement du visage ou d’une rougeur des gencives ;
  • Est associée à de la fièvre, une fatigue inhabituelle ou un malaise général. 

Pourquoi choisir la Smile Clinic ?

Chez la Smile Clinic, nous mettons un point d’honneur à offrir des soins personnalisés pour chaque patient. Nos experts sont équipés des dernières technologies pour garantir un diagnostic précis et un traitement optimal. Prenez rendez-vous dès aujourd’hui pour débuter votre chemin vers un sourire parfait !

L’expertise Smile Clinic pour le traitement de la rage de dents

Chez Smile Clinic, située boulevard de la Madeleine à Paris, vous bénéficiez d’un traitement efficace, réalisé par une équipe pluridisciplinaire dédié à la prise en charge complète de la santé bucco-dentaire :

  • Dr Ralph Badaoui, Dr Joseph Nammour et Dr Maxime Lucas, fondateurs et spécialistes reconnus en esthétique et implantologie.
  • Une équipe d’endodontistes hautement qualifiés, formés aux dernières avancées technologiques pour des soins de pointe.
  • Des collaborations régulières avec des experts en orthodontie invisible et parodontologie, garantissant un suivi global et personnalisé.

Faites-nous confiance ; chaque patient bénéficie d’une prise en charge personnalisée, assurée par des experts reconnus. Entre précision technique et innovations de pointe, notre approche garantit des soins dispensés dans des conditions optimales, en parfaite conformité avec les standards les plus stricts. 

Smile Clinic salle de soins
Greffe de gencive à la Smile Clinic

Le traitement de la rage de dent

Chez Smile Clinic, nous savons que toutes les douleurs dentaires ne se ressemblent pas. C’est pourquoi le traitement d’une rage de dent dépend toujours de sa cause. Voici les situations les plus fréquente, et la manière dont notre équipe y répond, avec précision et efficacité. 

La pulpite est une inflammation de la pulpe dentaire, généralement causée par une carie profonde. La douleur est vive, pulsatile, souvent insoutenable, surtout la nuit. Cette urgence dentaire peut évoluer en infection sévère si elle n’est pas traitée rapidement.

  • Traitement : Un traitement endodontique (dévitalisation) est réalisé pour retirer la pulpe infectée, désinfecter les canaux radiculaires, puis les obturer. Ce soin permet de préserver la dent tout en éliminant la douleur.

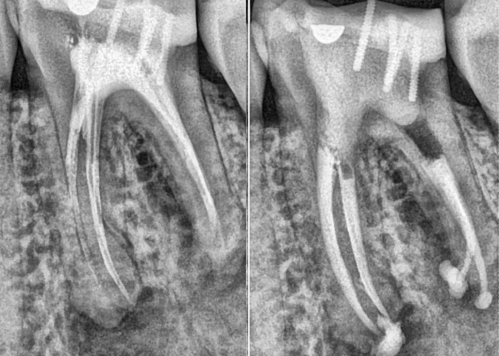
Parfois, une dent déjà soignée (dévitalisée) reste douloureuse. Cela peut indiquer un échec du traitement initial ou une infection résiduelle. La douleur est souvent sourde, persistante, voire réactivée par la mastication.

  • Traitement : Une reprise de traitement endodontique est effectuée. À l’aide d’outils modernes (imagerie 3D, instruments rotatifs, irrigation ultrasonique), la dent est retraitée en profondeur pour stopper l’infection.

Un aliment coincé entre deux dents peut créer une pression locale, enflammer la gencive et provoquer une douleur localisée, notamment lors de la mastication. Ce type de douleur, bien que discret, peut devenir chronique s’il n’est pas traité.

  • Traitement : Le dentiste procède à un nettoyage minutieux, puis vérifie l’équilibre des contacts dentaires. Parfois, un léger ajustement ou le remplacement d’une obturation permet de corriger la cause du tassement.

Une dent de sagesse qui ne pousse pas correctement peut entraîner une infection de la gencive autour de sa couronne. C’est la péricoronarite. Les douleurs sont souvent localisées à l’arrière de la mâchoire, avec un gonflement, parfois une difficulté à ouvrir la bouche.

  • Traitement: En phase aiguë, un nettoyage local et une antibiothérapie sont prescrits. Si les symptômes récidivent, l’extraction de la dent de sagesse est envisagée pour éviter toute complication. 

Le bruxisme — serrement ou grincement des dents, souvent nocturne — provoque des douleurs musculaires, une fatigue au réveil, et parfois des troubles de l’articulation de la mâchoire. Les dents peuvent aussi s’user prématurément.

  • Traitement : La pose d’une gouttière occlusale permet de protéger les dents et de soulager les tensions. Un accompagnement complémentaire (gestion du stress, kinésithérapie) peut être proposé selon les cas.

Chez Smile Clinic, nous vous proposons une prise en charge ciblée

Un examen clinique approfondi est réalisé, accompagné d’une imagerie de haute précision : radiographie panoramique, dentascan ou cone beam 3D selon la complexité. Ces outils permettent d’évaluer l’état de la pulpe, la présence d’infection et la condition des racines.

Des tests de vitalité pulpaire sont effectués pour mesurer la réaction nerveuse de la dent à différents stimuli.

Si la douleur est intolérable, un traitement médical d’urgence peut être instauré : antalgiques adaptés, voire antibiothérapie en cas d’infection sévère. Mais cela ne constitue qu’une étape transitoire en attendant un traitement endodontique définitif. 

Suivi et prévention des complications

Après traitement, un contrôle régulier est indispensable pour s’assurer de la guérison complète et prévenir toute récidive. Smile Clinic propose des suivis personnalisés incluant examens cliniques, radiographies de contrôle, conseils d’hygiène spécifiques et traitements complémentaires si nécessaire. 

docteur_ralph_badaoui

Pourquoi choisir Smile Clinic pour votre rage de dents ?

Smile Clinic rassemble plusieurs expertises — esthétique dentaire, implantologie, orthodontie invisible — pour vous proposer un suivi entièrement personnalisé. Notre plateau technique de dernière génération, chaque diagnostic est optimisé pour garantir un traitement précis et adapté. Nous assurons également un nettoyage et une désinfection approfondis pour votre rage de dents, y compris pour les cas les plus délicats.

Le respect des normes d’hygiène et de stérilisation vous garantit une sécurité maximale. Chez Smile Clinic, vous bénéficiez de traitements dentaires à la fois performants, sûrs et véritablement centrés sur votre bien‑être.

Pour toute douleur dentaire aiguë, ne tardez pas. Prenez rendez-vous en ligne ou contactez-nous directement pour une prise en charge rapide et efficace. 

FAQ

Oui, il est possible de prévenir la rage de dents. Voici les recommandations que nous donnons à nos patients :

  • Hygiène bucco-dentaire rigoureuse : brossage au moins deux fois par jour avec une brosse adaptée, usage quotidien de fil dentaire ou brossettes interdentaire
  • Contrôles réguliers chez le dentiste (au minimum 1 fois par an) pour dépister les caries précocement
  • Détartrage professionnel 1 à 2 fois par an pour prévenir l’inflammation des gencives
  • Alimentation équilibrée, faible en sucre et en acides
  • Port de protège-dents si bruxisme ou sport à risque

Si vous ressentez une douleur dentaire intense ou suspectez une rage de dents, n’attendez pas. Contactez notre équipe d’experts pour un diagnostic rapide et un traitement efficace. 

En général, 1 à 2 séances de 45 minutes suffisent. Certaines infections très avancées peuvent nécessiter des séances complémentaires.

Non, grâce à l’anesthésie locale et aux techniques douces, le traitement est indolore. La douleur disparaît généralement dès la séance.

Oui, la plupart des dents traitées conservent leur fonction à long terme, surtout si elles sont bien restaurées par une couronne.

Le traitement endodontique est remboursé selon la nomenclature, avec un reste à charge variable selon la restauration réalisée.

Oui, Smile Clinic propose des aligneurs transparents spécifiquement conçus pour les adultes, avec un plan de traitement ergonomique et discret.

Selon vos disponibilités, Smile Clinic propose des créneaux sous 1 à 3 semaines, et dispose d’urgences pour les cas critiques.

Nos compétences